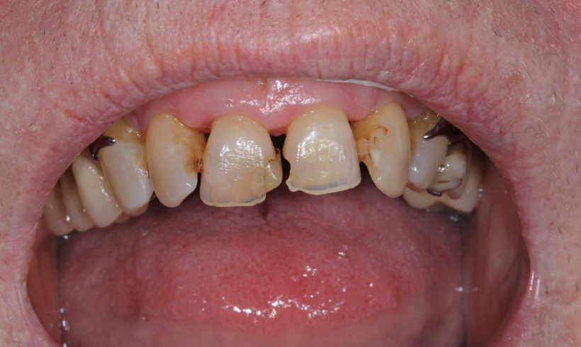
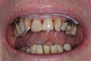
This patient was able to improve her smile and confidence, with minimal intervention, simply replacing her old white fillings and repairing her tooth fractures. After a full clinical examination, and discussion, we agreed that placing new tooth coloured fillings was the most suitable approach. This would address the discoloured fillings, repair her fractures and strengthen her existing tooth structure. We also discussed and dismissed veneers as an alternative.

