Broadly speaking there are 5 different ways to whiten teeth. Most of these teeth whitening options are offered at the Limes Dental Practice. These 5 methods can be divided into extrinsic and intrinsic whitening. Extrinsic whitening is the removal of surface staining from the tooth. Intrinsic whitening is the changing of the tooth colour. There are advantages and disadvantages to all methods. A full understanding will allow you, the patient, to make the best choice. Sometimes a combination of methods may be indicated but often only one is required. We will discuss all methods in detail starting with the least invasive.
There are a variety of tooth whitening toothpastes available on the market. These can be bought in dental practices, pharmacies or even supermarkets. Most work by being more gritty than standard tooth paste.The larger grit particles in the tooth paste remove external surface stain. Tooth pastes do not penetrate into the tooth and cannot change the colour.
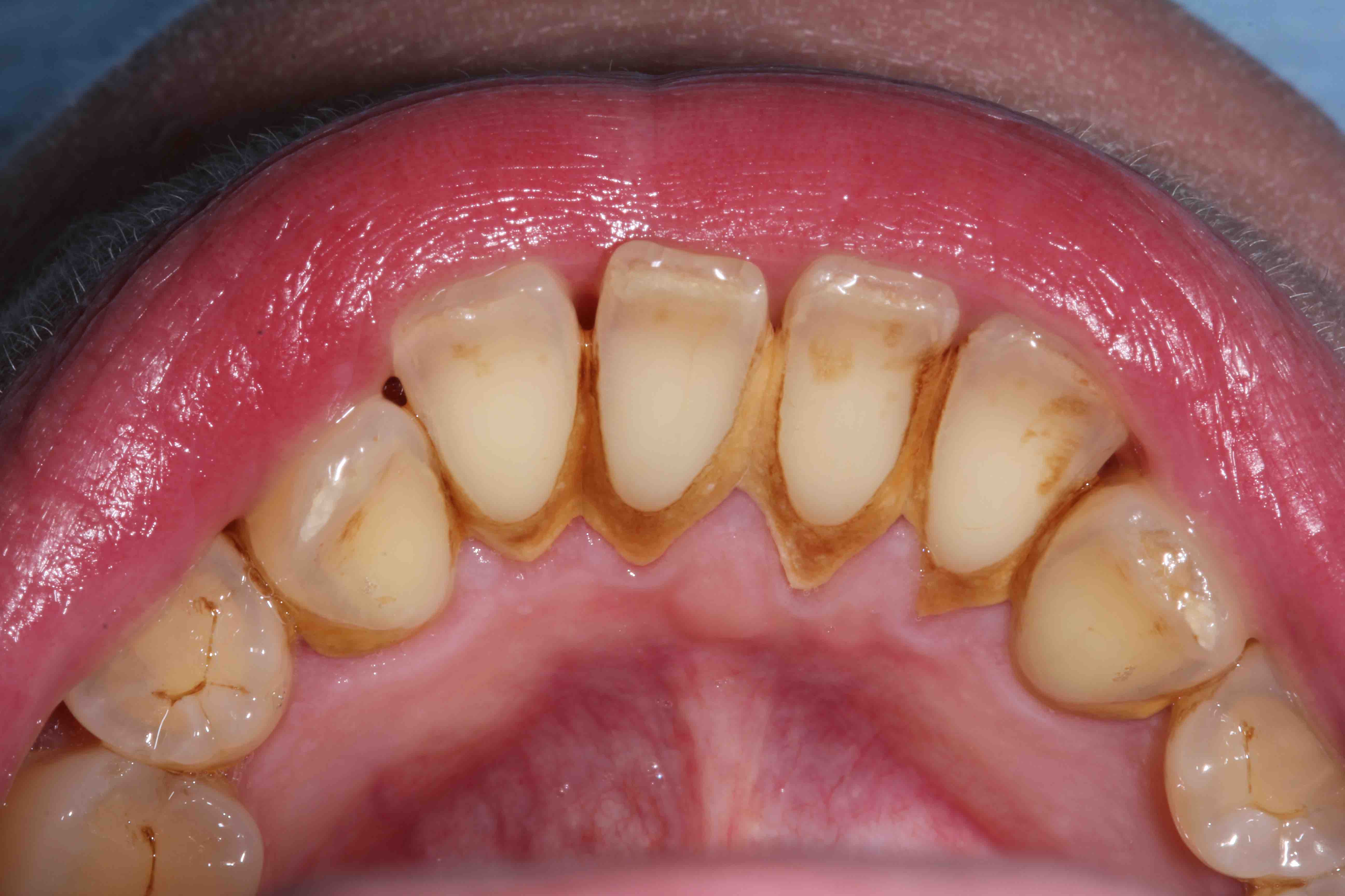
Regular visits to see your hygienist will also remove external stain. Polishing the teeth with prophylactic paste (a very gritty paste) will remove very stubborn stain. These are usually caused by tea and red wine. We try to avoid polishing teeth if we can. There is increasing evidence it removes fluoride from the surface of the tooth. Fluoride on the surface of the tooth provides protection against dental decay. Our hygienist will also remove calculus or tartar from your teeth. This can cause gum recession and decay if left in place.



This method is the preferred method of the Limes Dental Practice. There are two ways to do this.
Custom made whitening trays are worn whilst sleeping. These trays are tailor fitted to your mouth. They are made on dental models poured from impressions of your mouth. The close fit allow use to use up to 16% carbamide peroxide gels to intrinsically change the colour of your teeth. Your dentist in Gloucester meets with you regularly to help you achieve the most controllable outcome.
One size fits all trays pre filled with a 6% carbamide peroxide gel is used at the Limes Dental Practice. This is a more economical way to whiten teeth.
This method uses very strong carbamide peroxide gels (up to 35%) and a light to whiten teeth. The light is reputed to activate the gels but there is very little evidence that it does anything to improve the final result. A rubber barrier is required to protect your gums. The advantage is that it provides a result in an matter of hours rather than weeks. It can be painful after the treatment and local anaesthetia is sometimes required. A "high-tide" line can be visible after treatment so further home whitening can be required. We do not advocate the use of power whitening at the practice.
